L'odontoiatria moderna si confronta quotidianamente con la sfida di creare protesi fisse che siano non solo funzionali ed esteticamente gradevoli, ma anche durature nel tempo. Un aspetto cruciale in questo campo riguarda l'accoppiamento tra i diversi componenti protesici e, in particolare, la gestione delle forze che agiscono su di essi, come quelle di frizione. La comprensione approfondita dei meccanismi di adesione, delle cause di fallimento delle protesi e delle tecniche di riparazione intraorale è fondamentale per offrire ai pazienti soluzioni predicibili e di lunga durata.
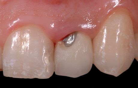
La Fragilità della Ceramica e le Sue Conseguenze
Da oltre cinquant’anni, le ceramiche dentali sono state il materiale d'elezione per la realizzazione di protesi fisse in metallo-ceramica, apprezzate per le loro eccellenti proprietà estetiche. Tuttavia, la intrinseca fragilità di questo materiale contribuisce a una maggiore incidenza di fallimenti, che si manifestano principalmente sotto forma di scheggiature o fratture del rivestimento ceramico. Studi clinici indicano una percentuale di fallimenti compresa tra il 3% e il 5% annuo.
Le scheggiature sono particolarmente frequenti nell'area cervicale delle protesi fisse. Una delle cause principali è la preparazione insufficiente del dente naturale sottostante, che può risultare in uno strato di ceramica più sottile in questa zona. Altre cause di frattura e scheggiatura della ceramica includono:
- Inadeguatezza del design dell'armatura di supporto.
- Preparazione irregolare del moncone dentale.
- Procedure di laboratorio non idonee.
- Divergenza nei coefficienti di espansione termica tra la ceramica e l'armatura (in ceramica o metallo).
- Incompatibilità tra le diverse ceramiche utilizzate.
- Porosità nella ceramica dopo le lavorazioni in laboratorio.
- Regolazione occlusale inadeguata.
- Traumi diretti.
- Abitudini parafunzionali, come il bruxismo.
- Cause biologiche, quali carie o problemi parodontali.
- Una combinazione di questi fattori.

La Riparazione Intraorale: Un Approccio Conservativo
Quando una frattura o scheggiatura della ceramica si verifica, l'applicazione di un nuovo strato di ceramica direttamente sull'area danneggiata non è possibile senza un intervento di laboratorio. Una delle alternative più efficaci per risolvere il problema consiste nel realizzare riparazioni intraorali utilizzando compositi in resina.

La riparazione intraorale rappresenta un approccio altamente conservativo. Questo metodo non richiede la rimozione della protesi fissa, evitando così molteplici sessioni cliniche e costi elevati per il paziente. La rimozione della protesi e il suo rifacimento implicano tempi e costi significativamente maggiori, richiedono procedure di laboratorio sofisticate e aumentano il rischio di preparazioni inutili dei tessuti dentali, a meno che la frattura non sia essa stessa causata da una preparazione insufficiente.
Considerando gli elevati costi associati alla sostituzione completa delle protesi, molti pazienti tendono a rifiutare il rifacimento di restauri che hanno subito un fallimento poco tempo dopo l'inserimento. Tuttavia, i fallimenti possono anche verificarsi dopo molti anni di utilizzo, a causa della fatica del materiale. Anche in questi casi, la rimozione e il rifacimento della protesi fissa potrebbero essere evitati, principalmente per ragioni economiche, optando per interventi di riparazione direttamente alla poltrona. È importante notare che la rimozione di una protesi fissa può causare la distorsione dell'armatura sottostante, specialmente lungo i margini della ricostruzione. L'area fratturata, che generalmente costituisce un problema sia estetico che funzionale, può essere trattata efficacemente con le opzioni di riparazione alla poltrona, risolvendo tali problematiche in modo immediato.
Quando Optare per una Riparazione? Criteri di Valutazione
Prima di intraprendere una riparazione intraorale, è fondamentale valutare attentamente alcuni requisiti chiave. Innanzitutto, la protesi deve presentare un adattamento marginale soddisfacente, un'occlusione corretta e un'estetica adeguata. Le protesi fisse che non soddisfano questi criteri dovrebbero essere sostituite.
Le fratture tipiche della ceramica nelle protesi fisse possono essere classificate in quattro categorie principali:
- Ceramica fratturata con esposizione dell'armatura metallica: Comune nelle protesi in metallo-ceramica.
- Ceramica fratturata con esposizione dell'armatura in ceramica: Osservata nelle protesi in ceramica integrale a doppio strato.
- Esposizione della preparazione del dente: Tipica di faccette, inlay, onlay e corone monolitiche.
- Scheggiatura coesiva della sola ceramica di rivestimento: Un danno limitato allo strato esterno di ceramica.
È altresì necessario valutare attentamente il tipo e le dimensioni della frattura. L'entità del fallimento determinerà se la sostituzione della protesi sia l'unica opzione percorribile. Le riparazioni intraorali sono generalmente indicate per fallimenti di entità da piccola a media. Tuttavia, queste procedure possono risultare difficoltose nell'area prossimale, dove la mancanza di contatto con il dente o il restauro adiacente può complicare la ricostruzione. In tali casi, la sostituzione della protesi dovrebbe essere seriamente considerata.
Il Processo di Riparazione Intraorale: Una Guida Passo-Passo
Per ottenere riparazioni intraorali resistenti e durature nel tempo, è imperativo che i materiali del substrato vengano identificati e condizionati adeguatamente utilizzando le tecniche adesive più appropriate. Il seguente protocollo, basato sulle migliori conoscenze disponibili da studi clinici e in vitro, delinea i passaggi essenziali per una riparazione efficace.
1. Identificazione del Substrato e Valutazione del Coinvolgimento Dentale:Il primo passo consiste nell'identificare con precisione il materiale del substrato (dente naturale, metallo, ceramica, ecc.) che necessita di condizionamento, valutando contestualmente il coinvolgimento di sostanza dentale.

2. Identificazione della Causa della Frattura:È cruciale determinare la causa scatenante della frattura. Le riparazioni intraorali non dovrebbero essere considerate se il fallimento è riconducibile a una preparazione insufficiente del dente o a procedure di laboratorio inadeguate. Tuttavia, la valutazione dell'occlusione e l'eliminazione dei contatti prematuri sulla protesi fissa possono significativamente ridurre il rischio di futuri fallimenti della riparazione intraorale.
3. Determinazione della Tonalità:Selezionare la tonalità corretta della ceramica e del composito in resina è essenziale per un risultato estetico ottimale. È possibile utilizzare scale colori specifiche per ceramiche o compositi in resina. Prima di procedere al condizionamento della superficie dell'area fratturata, si può applicare una piccola quantità di composito in resina e fotopolimerizzarla per valutare la corrispondenza cromatica tra i materiali.

4. Isolamento del Campo Operatorio:L'isolamento dell'area di lavoro con una diga in gomma, quando possibile, è fondamentale per prevenire la contaminazione da saliva e umidità orale, che potrebbero compromettere l'adesione. Le dighe in gomma possono essere modificate per adattarsi a protesi estese. In alternativa, se la diga in gomma non è applicabile, è possibile utilizzare un nastro in polifluoroetilene (teflon) per proteggere i tessuti circostanti, soprattutto quando si utilizzano getti d'aria a particelle abrasive o acido fluoridrico, che potrebbero danneggiare accidentalmente denti e tessuti molli adiacenti.

5. Pulizia del Substrato:Pulire accuratamente l'area da riparare utilizzando pomice o una pasta per profilassi priva di fluoro è un passaggio essenziale per un condizionamento efficace e per garantire una successiva adesione ottimale.

6. Preparazione del Rivestimento Ceramico:Utilizzando una fresa diamantata a grana fine, rimuovere lo strato di glasura lungo i margini da riparare e creare uno smusso. Questa procedura aumenta l'area superficiale disponibile per la reazione chimica tra l'acido fluoridrico, l'agente di accoppiamento silanico e la matrice vetrosa della ceramica, migliorando la formazione di legami silossanici. È fondamentale utilizzare abbondante acqua di raffreddamento durante questa fase per evitare il surriscaldamento della ceramica e la formazione di cricche.

7. Protezione delle Superfici Non Coinvolte:Proteggere le aree di rivestimento ceramico che non devono essere trattate, ad eccezione dell'area dello smusso, utilizzando un nastro in teflon o un gel alla glicerina.

8. Condizionamento Adeguato della Superficie:Il condizionamento della superficie varia a seconda del materiale del substrato:
- Metalli o superfici in ossiceramica: Utilizzare un getto d'aria a particelle abrasive di allumina rivestita in silice o di sola silice (dimensioni particelle: 30-50 micron, pressione getto: 2,5 bar). Applicare il getto per circa 5 secondi con un movimento circolare, ruotando l'ugello a una distanza di circa 10 mm.
- Ceramiche feldspatiche o vetroceramiche: La mordenzatura con acido fluoridrico è la tecnica più indicata (ceramica feldspatica: HF al 9,6% per 2-3 minuti; ceramica rinforzata con leucite: HF al 5% per 1 minuto; ceramica rinforzata con disilicato di litio: HF al 5% per 20 secondi).
- Superficie dentale esposta: Si consiglia la mordenzatura con acido fosforico.

9. Risciacquo e Asciugatura:Dopo la mordenzatura con acido fluoridrico, sciacquare accuratamente la superficie e asciugarla.

10. Applicazione dell'Agente di Accoppiamento Silanico:Applicare uno strato di agente di accoppiamento silanico utilizzando un pennello pulito per ogni applicazione. Il silano crea legami covalenti tra le superfici metalliche o ceramiche e il composito in resina. Attendere 1 minuto per la reazione con la superficie e asciugare con aria compressa priva di olio.

11. Mascheramento delle Superfici Metalliche:Mascherare le superfici metalliche esposte con resina opaca per prevenire l'intravedimento del metallo. Utilizzare la punta di una sonda, assicurandosi che non vi siano bolle d'aria, e fotopolimerizzare per 120 secondi.

12. Applicazione della Resina Adesiva:Applicare uno strato di resina adesiva su metallo, ceramica di rivestimento e dente preparato utilizzando un pennello pulito. Rimuovere l'eccesso di resina adesiva mediante aspirazione e fotopolimerizzare per 20 secondi.

13. Applicazione Incrementale del Composito in Resina:Applicare il composito in resina in modo incrementale. Ogni incremento deve essere fotopolimerizzato per ridurre la contrazione di polimerizzazione finale.

14. Rifinitura e Lucidatura:Rimuovere la diga in gomma e controllare l'occlusione, assicurandosi che non vi siano contatti prematuri residui. Rifinire e lucidare la superficie in composito utilizzando punte o dischi in gomma con paste lucidanti.


Conclusioni sulla Riparazione Intraorale
Quando le indicazioni per la riparazione intraorale sono presenti e la procedura viene eseguita con tecniche adesive e composito in resina, i problemi estetici e funzionali causati dalla frattura della ceramica possono essere risolti rapidamente alla poltrona, evitando la costosa sostituzione della protesi. Tuttavia, il successo clinico e la durata delle riparazioni intraorali dipendono criticamente dall'adesione a un protocollo clinico rigoroso. Questo include l'applicazione di una diga in gomma adeguata, l'impiego di una corretta sequenza di condizionamento superficiale per ciascun substrato e procedure meticolose di finitura e lucidatura.
Gestione di Casi Complessi: Protesi Fisse su Impianti Disparalleli
L'edentulismo, in particolare nella popolazione anziana, rappresenta una sfida sanitaria di primaria importanza. La perdita totale dei denti ha un impatto negativo significativo sulla qualità di vita, influenzando aspetti estetici, fonetici e, soprattutto, psicologici, con una conseguente perdita di autostima. L'avvento degli impianti osteointegrati ha aperto nuove prospettive per la gestione di diverse tipologie di trattamenti, sia fissi che rimovibili, con l'obiettivo di migliorare la vita dei pazienti.
Nei protocolli di trattamento implantare, la raccolta di informazioni dettagliate sul caso clinico è indispensabile prima di progettare un piano terapeutico. I principi fondamentali della protesi totale mobile rimangono cruciali anche nell'era implantare. La competenza e la conoscenza del team, composto da clinici, odontotecnici e aziende di supporto, sono essenziali per stabilire i parametri necessari per la progettazione implanto-protesica, considerando gli aspetti estetici, fonetici, la dimensione verticale e la relazione tra le arcate.
La posizione dei denti residui può offrire una visione più completa, consentendo la progettazione e il posizionamento degli impianti in base alla disponibilità ossea e alla posizione protesicamente più corretta. Tuttavia, spesso ci si trova a dover lavorare con impianti già esistenti o posizionati senza una visione protesica preliminare. Questo può portare a complicazioni nella fase finale del trattamento implanto-protesico, richiedendo soluzioni tecniche e cliniche per il rispetto dei tessuti duri e molli perimplantari.
Un esempio di gestione di casi complessi riguarda l'utilizzo di monconi a basso profilo, come gli OT Equator, con il sistema OT Bridge. Questi componenti, grazie al loro design, rispettano i tessuti circostanti gli impianti e possono rappresentare una soluzione predicibile nel tempo per realizzare protesi fisse su impianti disparalleli, con strutture realizzate digitalmente.
Caso Clinico: Riabilitazione di un Mascellare Superiore con Impianti Disparalleli
Una paziente di 75 anni, in buona salute, presentava la necessità di riabilitare il mascellare superiore con una protesi fissa priva di palato. L'esame clinico rivelava la presenza di quattro impianti superiori precedentemente inseriti, una protesi totale superiore incongrua, instabile e con errata dimensione verticale, e una protesi rimovibile scheletrata nell'arcata inferiore.
Dopo aver raccolto l'anamnesi odontoiatrica, si è proceduto alla diagnosi. Nonostante il forte disparallelismo degli impianti esistenti, che avrebbe potuto complicare la realizzazione della protesi, si è deciso di evitare la rimozione e il riposizionamento dei nuovi impianti per non aumentare tempi, costi e disagio per la paziente. Si è optato per sfruttare le tecnologie attuali per gestire questi casi complessi.
A differenza dei Multi-Unit Abutment (MUA) tradizionali, che presentano una spalla protesica importante e un diametro considerevole, la sistematica OT Bridge è stata scelta per la sua capacità di compensare forti disparallelismi e uniformare la piattaforma implantare, anche in presenza di impianti di marche diverse. La base di questo sistema è l'OT Equator, che funge da MUA nel sistema OT Bridge.
Il sistema prevede l'utilizzo di un moncone protesico chiamato Extragrade, che alloggia un anello in materiale elastico (seeger) per ammortizzare le forze e conferire stabilità. Questo moncone può essere preformato in titanio, calcinabile o realizzato con tecniche CAD/CAM.
Viene realizzato un portaimpronta individuale per impronte di precisione. Le impronte rilevate evidenziano il forte disparallelismo tra gli impianti. Dopo la costruzione della placca base e la determinazione della Dimensione Verticale di Occlusione (DVO) con prove estetiche e fonetiche, si procede alla registrazione dell'arco facciale.

L'analisi del modello montato in articolatore rivela una discrepanza del piano occlusale, che viene riprogettato e modificato. Le modifiche vengono verificate con gig in silicone per riposizionare il montaggio dei denti e rilevare una nuova dimensione verticale. Il montaggio dei denti viene eseguito rispettando la zona neutra e l'andamento del centro cresta, secondo lo schema della scuola di A. Gerber.
Dopo l'accettazione del progetto protesico da parte della paziente, vengono realizzate mascherine in silicone del montaggio dei denti, fondamentali per la progettazione della barra di rinforzo. Viene ordinata la componentistica per l'OT Bridge.
La progettazione e la realizzazione della struttura di rinforzo vengono affidate a tecniche CAD/CAM, utilizzando titanio fresato per la sua leggerezza e resistenza, nonostante gli spessori minimi richiesti. La struttura viene modellata digitalmente e fresata.

La prova della struttura in bocca al paziente conferma la passività e il preciso accoppiamento, sia clinicamente che radiograficamente.

In laboratorio, la costruzione della protesi viene finalizzata con attenzione ai dettagli. I fori passanti degli impianti mesiali, se vestibolari, potrebbero compromettere l'estetica. Questa problematica viene risolta con l'utilizzo del cacciavite cardanico e della relativa vite protesica, che permettono di spostare il canale del cacciavite fino a 20° in una zona non visibile, garantendo estetica e resistenza. Questa soluzione viene applicata su entrambi gli impianti mesiali, portando palatalmente l'emergenza del foro di connessione. Vengono utilizzati denti commerciali ulteriormente caratterizzati per personalizzare il manufatto protesico.

La protesi viene consegnata in studio e montata in bocca seguendo il protocollo di serraggio delle viti, con torque crescente e alternato. Viene eseguita una radiografia di controllo finale, e la paziente viene seguita con appuntamenti periodici.

Conclusioni sulla Riabilitazione Implanto-Protesica
Ogni riabilitazione implanto-protesica richiede una fase diagnostica preliminare accurata. La progettazione degli impianti deve essere strettamente correlata a questa fase, idealmente attraverso la chirurgia guidata, che permette una valutazione dettagliata di ogni impianto in relazione ai denti protesici.
Spesso, tuttavia, è necessario gestire impianti preesistenti per rispetto del paziente e valutazione dei rapporti rischio/beneficio. In questi casi, clinico e tecnico devono collaborare strettamente, valutando ogni scelta per realizzare una riabilitazione predicibile nel tempo, considerando la salute e la posizione degli impianti a fini protesici.
Se si sceglie di conservare gli impianti, è fondamentale disporre di soluzioni protesiche che consentano di compensare i disparallelismi e gestire i profili di emergenza, nel rispetto dei tessuti perimplantari. La sistematica OT Bridge, con l'OT Equator, offre un diametro minimo, una spalla protesica ridotta e la possibilità di gestire forti disparallelismi grazie ai monconi Extragrade e al seeger. L'utilizzo di titanio fresato per la struttura CAD/CAM risponde alla necessità di rispettare lo scarso spazio protesico disponibile.
L'applicazione dei vantaggi del cacciavite cardanico amplia ulteriormente le possibilità terapeutiche, consentendo di raggiungere risultati estetici e funzionali predicibili, migliorando la soddisfazione del paziente e la risoluzione delle sfide cliniche quotidiane.
Il Sistema Protesico XCN Leone: Frizione e Stabilità
Il sistema protesico XCN di Leone offre soluzioni sia per protesi fisse che rimovibili, caratterizzate da un fissaggio conometrico che si stabilizza grazie all'attrito generato dai suoi componenti. Questo avviene tramite il moncone MUA-Conic, dotato di un'emergenza conica su cui vengono fissate, per frizione, delle cappette conometriche in PEEK inglobate nella protesi.
Nelle protesi fisse, l'ancoraggio conometrico facilita la rimozione per la manutenzione ordinaria, eliminando la necessità di viti protesiche o cemento di fissaggio. Nelle overdenture supportate da impianti, il bloccaggio conometrico garantisce un'elevata ritenzione durante la funzione e una maggiore facilità di igiene rispetto ai sistemi a barra o alle protesi fisse avvitate. Il fissaggio conometrico crea inoltre una tenuta ermetica, riducendo al minimo le infiltrazioni batteriche e migliorando la salute dei tessuti perimplantari.
Caso Clinico: Riabilitazione di Arcate Superiore e Inferiore con Sistema XCN
Una paziente di 76 anni necessitava della riabilitazione di entrambe le arcate. La valutazione clinica e radiografica indicava l'estrazione di numerosi denti residui. Nell'arcata inferiore, si procedeva all'estrazione di tutti i denti residui e all'inserimento di quattro impianti. Nell'arcata superiore, dopo l'estrazione di alcuni denti e il mantenimento di quelli trattati parodontalmente, venivano inseriti quattro impianti.
A tre mesi dalla prima chirurgia e dopo un secondo intervento, si passava alla fase protesica. Per l'arcata inferiore, si è presa un'impronta primaria per la realizzazione di un portaimpronte individuale chiuso, seguita da un'impronta analogica in silicone per addizione, metodo ritenuto ideale per overdenture complete per la riproduzione accurata dei tessuti molli.
Nel secondo quadrante superiore, è stata utilizzata un'impronta ottica intraorale con Scan Body Inclined Plane.

Dopo lo sviluppo di un modello in gesso dell'arcata inferiore, l'odontotecnico ha selezionato i monconi MUA, li ha parallelizzati e ha fissato gli adattatori Conic per trasformarli in monconi MUA-Conic. Le cappette Mobile in PEEK sono state posizionate, il modello scansionato e, tramite software 3Shape, è stata creata una struttura metallica in Cr-Co mediante sinterizzazione laser.
Per il secondo quadrante superiore, è stato stampato un modello prototipato per parallelizzare i monconi MUA e assemblare i monconi MUA-Conic. Le cappette Fixed sono state posizionate, il modello scansionato e, con il software Exocad, è stata realizzata una struttura metallica in Cr-Co mediante sinterizzazione laser.

Prima della finalizzazione delle protesi fisse dell'arcata superiore, si è effettuata una prova metallo in bocca, verificando il fitting passivo, registrando l'occlusione e la dimensione verticale con un vallo in cera.
Il giorno della consegna, tutti gli abutment sono stati attivati con il percussore con punta in PEEK, seguiti dalle relative cappette, dopo aver posizionato una diga di gomma per impedire il passaggio del cemento resinoso che fisserà le cappette nelle protesi. La passività della cementazione è stata garantita mediante occlusione prima della polimerizzazione del cemento. Completata la polimerizzazione, le protesi sono state rifinite, lucidate e attivate sui monconi MUA-Conic.

Gestione del Precarico e della Sequenza di Serraggio
Le protesi fisse avvitate su impianti sono soggette a stress di precarico e stress funzionale. Il precarico, generato dal torque di fissaggio delle viti, mantiene connesse la protesi agli impianti. Il valore di torque varia in base a materiali, forma, dimensioni e innesto della vite, e deve essere verificato secondo le indicazioni del produttore.
Per ridurre il rischio di allentamento delle viti, si consiglia il serraggio a viti contrapposte, piuttosto che lineare o circolare. Questa sequenza permette un miglior accoppiamento della protesi fissa sugli impianti, grazie a un progressivo allineamento. Si raccomanda di iniziare con un avvitamento parziale delle viti contrapposte, ripetendo la sequenza con il torque finale di serraggio consigliato dal produttore.
Sequenza Suggerita di Avvitamento Protesi Fisse su Impianti:
- Pre-serraggio a Torque parziale con sequenza a viti contrapposte.
- Serraggio finale al Torque stabilito dal fabbricante, ripetendo la sequenza a viti contrapposte.
Soluzioni Protesiche Avanzate: Abutment e Transfer
L'industria dentale offre una vasta gamma di abutment e componenti protesici progettati per soddisfare le esigenze di ogni paziente e professionista.
- Abutment Compatibili: Disponibili in versioni dritte e angolate, offrono soluzioni personalizzate per ogni situazione clinica. La filosofia si basa sulla massima efficienza, dalla semplice applicazione degli abutment alla stabilità primaria garantita.
- Abutment Dritti FDS76: Realizzati in titanio di alta qualità, garantiscono eccellenza, disponibilità in una gamma completa di misure e straordinaria stabilità e resistenza, anche in pareti sottili (<0,1 mm).
- Abutment Angolati: Utilizzati per la ricostruzione di corone singole o ponti, e per casi clinici complessi che richiedono forti inclinazioni (35° e 45°). Sono impiegati per riabilitazioni overdenture su due o più impianti paralleli (entro i 10°).
- Viti di Guarigione: Disponibili in diverse misure, a seconda dello spessore della mucosa.
- Transfer da Impronta: Adatti sia per la tecnica a cucchiaio aperto che chiuso. Realizzati in acciaio inossidabile per la struttura, con connessioni in lega di titanio di alta qualità (grado 5). L'assenza di viti e la speciale connessione consentono un risparmio di tempo. Il transfer tipo CLIP-ON è particolarmente efficace con molari e premolari.
- Multi Unit Angolati: Progettati per correggere disparallelismi tra più elementi di un impianto dentale. Sono composti da base con portatore, anodizzati e disponibili in due altezze transmucose per soddisfare ogni esigenza di restauro. L'inserimento è semplice e veloce grazie al dispositivo in dotazione. Soluzione ottimale per protesi avvitate su impianti con ripristino complesso, adatti ad esempio a restauri su impianti multipli.
- Monconi Calcinabili: Utili per restauri protesici personalizzati, preparati dai laboratori odontotecnici. Disponibili anche con Base in Cromo-Cobalto, garantiscono un accoppiamento ottimale.
Fabio Restuccia: il CADCAM e le nuove frontiere le tecnologiche in Odontoiatria
L'innovazione tecnologica e la continua ricerca di materiali e tecniche avanzate sono fondamentali per elevare la pratica dentale e offrire soluzioni predicibili e durature ai pazienti.
tags: #accoppiamento #protesi #fisse #per #frizione